Dear Editor, We read with great interest the article entitled “An analysis of 11.3 million screening tests examining the association between recall and cancer detection rates in the English NHS breast cancer screening programme” by Roger Blanks and colleagues [1]. We...
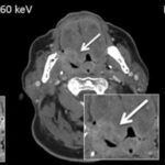
Dual-energy is constantly gaining ground. This is also the case for head and neck imaging. This study may well encourage us to change our protocols. Article: Comparison of dual- and single-source dual-energy CT in head and neck imaging Authors: Matthias Stefan May,...
This position paper from the European Gadolinium Retention Evaluation Consortium (GREC) Task Force position statement provides useful thoughts for analysis of this worrying situation, and the basis for future studies. Article: Standardized assessment of the signal...
Dear Editor, First of all, we would like to thank Dr. Wang and his colleagues for their interest in our recent study published in European Radiology [1]. They pointed out important errors in our Figure legend 4a and 4b, and we would like to correct these errors....
Dear Editor, We read with interest the article by Dong Ho Lee et al. entitled “Non-hypervascular hepatobiliary phase hypointense nodules on gadoxetic acid-enhanced MR can help determine the treatment method for HCC” [1]. We would like to thank authors for serial work...
Dear Editor-in-Chief, We thank the authors Sabour and Shokri for their interest in our recently published paper [1]. We acknowledge that the issues they raised are of potential concern, therefore we hope we can clarify some of the points they addressed. Firstly, we...
Dear Editor, We were interested to read an article that recently published by Barchetti G in the Mar 2019 issue of the Eur Radiol [1]. The authors aimed to evaluate accuracy and inter-observer variability using Vesical Imaging-Reporting and Data System (VI-RADS) for...
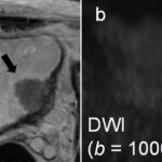
This sign is found in case of bladder cancer. It provides information on the degree of microinvasion into the muscularis propria. When absent, the likehood of progression is higher. Article: Usefulness of the inchworm sign on DWI for predicting pT1 bladder cancer...
Dear Editor, We would like to thank Rulach et al for their useful comments. It is certainly very interesting to note the different rate of second look PET in our experience (7%) and the West of Scotland data (20.9%). We would agree with regard to the potential...
Dear Prof Menu, We read with interest the work of Prestwich et al on the use of FDG PET-CT scans for response assessment of head and neck squamous cell cancers (SCC) [1]. We agree with their conclusions that second look PET-CTs can spare unnecessary neck dissections....