Beware of small ground-glass nodules
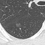
Small ground-glass lung nodules are common. Be careful, it might be a very invasive tumor. This article tells you more about the small signs that may draw your attention.
Small ground-glass lung nodules are common. Be careful, it might be a very invasive tumor. This article tells you more about the small signs that may draw your attention.
With a systematic review and meta-analysis, the authors arbitrate a competition of EUS, US, ERCP, MRI and CT in the assessment of chronic pancreatitis.
Does iterative mode reconstruction designed for brain CT have a positive effect on the accuracy of posterior fossa stroke diagnosis on brain CT? Read about the findings in the study below.
Does IT transformation help or threaten the Radiologist? The authors of this article analyse a possible scenario for the future.
How much is it possible to reduce, using low-dose CT with iterative reconstruction algorithms, the radiation dose delivered for acute abdominal pain? Can we go down to the same dose than in abdominal radiography? Find out in the article below.
This study carries out a retrospective evaluation of the characteristics of BI-RADS category 3 lesions, as well as proposing appropriate follow-up recommendations, detected in pre-operative MRIs of newly diagnosed breast cancer patients.
The European Radiology Private Foundation announces the application period of the ESR Albert L. Baert Editorial Fellowship in 2018. This editorial fellowship programme aims to provide training in editorial skills, such as manuscript evaluation, manuscript editing, organisation of peer review, manuscript production and publishing, including electronic publication.
The objective of this paper is to test medial temporal lobe atrophy (MTA) cut-off scores and to assess its use for routine clinical practice as markers for Alzheimer’s disease.
A panel of radiologists from the European Society of Urogenital Radiology (ESUR), experts in gynaecological imaging and a gynaecologist expert in methodology proposed a final recommendation on technical requirements, patient preparation, protocols and criteria for the diagnosis of pelvic endometriosis using Magnetic Resonance Imaging.
The European Society of Breast Imaging and 30 national breast radiology bodies pursue the goal of delivering a clear statement in favour of screening mammography to national/local governments, policy makers, referring physicians and the general population.