Highlights

Is Dual-Energy CT beneficial for head and neck imaging?

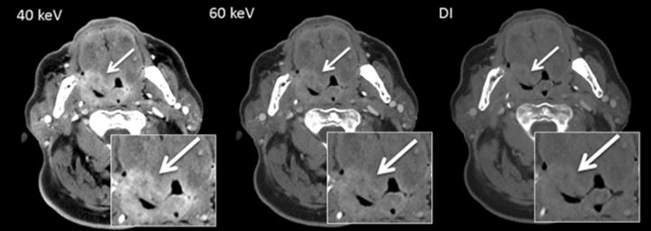
Dual-energy is constantly gaining ground. This is also the case for head and neck imaging. This study may well encourage us to change our protocols.

Article: Comparison of dual- and single-source dual-energy CT in head and neck imaging

Authors: Matthias Stefan May, Marco Wiesmueller, Rafael Heiss, Michael Brand, Joscha Bruegel, Michael Uder & Wolfgang Wuest