News

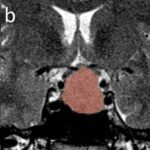
Texture analysis facilitates the follow up of Acromegaly with MRI

Texture analysis facilitates the follow up of Acromegaly with MRI

Follow-up of Acromegaly is not easy, as it is related to the pituitary mass and to biochemical issues. It seems that texture analysis can bring new and valuable information for predicting the outcome. Article: Predicting response to somatostatin analogues in...
Grading HCC with Radiomics from MRI

Grading HCC with Radiomics from MRI

Based on a large cohort, this study highlights how the grade of HCC can be approached with radiomics analysis of MRI images. Article: Predicting the grade of hepatocellular carcinoma based on non-contrast-enhanced MRI radiomics signature Authors: Minghui Wu, Hongna...

Opinion: The rise of the Clinical Radiologist

The marriage of computers and Radiology in mid-twentieth century accelerated the growth of Radiology and initiated the rise of Radiologist. Rapid advancements in imaging technology and digital medical images have revolutionized the work-flow systems in modern hospitals.

Predicting survival in lung cancer with CT

Predicting survival in lung cancer with CT

This study includes feature selection and internal and external validation of the findings and shows that radiomics, in addition to clinical information, predicts prognosis better than clinical data alone. Article: Development of a radiomics nomogram based on the 2D...
Understanding the huge advances in CT image reconstruction

Understanding the huge advances in CT image reconstruction

Over the last 15 years, image reconstruction of CT has been revolutionized. This is one major tool for dose reduction and the story does not end there, as there are many new promising developments. Article: The evolution of image reconstruction for CT—from filtered...
Multiparametric MRI of the prostate

Multiparametric MRI of the prostate

A subgroup of experts from the ESUR Prostate MRI Working Group conducted a literature review and face-to-face and electronic exchanges to draw up a position statement. Article: The primacy of multiparametric MRI in men with suspected prostate cancer Authors: Jonathan...
Infrared imaging and breast cancer detection

Infrared imaging and breast cancer detection

In a continuous effort to increase the detection rate of breast cancer, infrared imaging offers an interesting perspective in addition to mammography. Article: Does three-dimensional functional infrared imaging improve breast cancer detection based on digital...