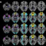
Microstructural changes in the white matter can be helpful for early detection and characterization of different subtypes of dementia, including Alzheimer’s disease. Article: Exploring quantitative group-wise differentiation of Alzheimer’s disease and behavioural...
This increasingly successful method for percutaneous valve repair comes with the necessity of very precise and detailed analysis in order to plan the implant position. This can be achieved by CT and/or MRI. The European Society of Cardiovascular Radiology provides...
This article explains the principle of grating-interferometry mammography. This can be obtained through the modification of a standard mammography device. The dose is unchanged. It provides different and additional information when compared with mammography. Article:...
Detection of invasive placenta is important as it necessitates special attention and treatment. A combination of US (anterior placenta) and MRI (posterior placenta) allows for reliable detection and staging. Article: Identification of suspicious invasive placentation...
Congratulations to the recipient of the 2020 Albert L. Baert Editorial Fellowship, Dr. Federica Vernuccio of the University Hospital “Paolo Giaccone” in Palermo, Italy! Congratulazioni!
MRI of ankle sprain: the association between joint effusion and structural injury severity in a large cohort of athletes The authors set out to determine whether presence and amount of effusion in the tibiotalar and talocalcaneal joints are connected to an increased...
Varicoceles are very common and sometimes not properly reported. Nonetheless, US examination allows for going much further than detection. The ESUR group provides useful hints for better reports. Article: Ultrasound evaluation of varicoceles: guidelines and...
Dear Editor, I read with great interest the article written by Heo et al [1] on the relationship between dark torsion knot sign at computed tomography (CT) and complicated sigmoid volvulus (SV). SV, the wrapping of the sigmoid colon around itself causing a colonic...
Radiation dose is an increasing concern, especially in the chest, and this area allows very significant dose reduction, preserving diagnostic capability. The comparison with chest X-Rays is more and more valid. Article: Dose estimation of ultra-low-dose chest CT to...
Thank you for your interest in our paper. We note that you plan an additional analysis which extends the data which will potentially include the data used here plus, we assume, the possibility of another two years data (2016/17 and 2107/18) as well as interval cancer...