Highlights

Early diagnosis of dementia with MRI

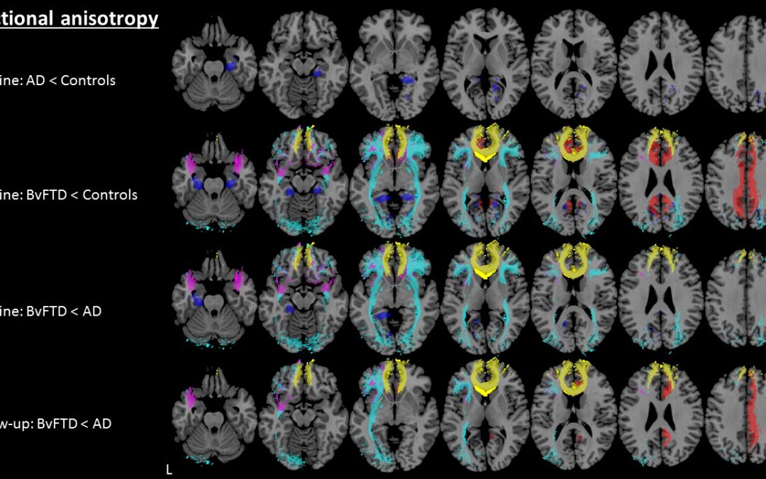
Microstructural changes in the white matter can be helpful for early detection and characterization of different subtypes of dementia, including Alzheimer’s disease.

Article: Exploring quantitative group-wise differentiation of Alzheimer’s disease and behavioural variant frontotemporal dementia using tract-specific microstructural white matter and functional connectivity measures at multiple time points

Authors: Rozanna Meijboom, Rebecca M. E. Steketee, Leontine S. Ham, Dante Mantini, Esther E. Bron, Aad van der Lugt, John C. van Swieten, & Marion Smits