Highlights

Imaging the placenta: a new frontier?

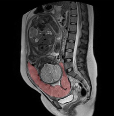
Detection of invasive placenta is important as it necessitates special attention and treatment. A combination of US (anterior placenta) and MRI (posterior placenta) allows for reliable detection and staging.

Article: Identification of suspicious invasive placentation based on clinical MRI data using textural features and automated machine learning

Authors: Huaiqiang Sun, Haibo Qu, Lu Chen, Wei Wang, Yi Liao, Ling Zou, Ziyi Zhou, Xiaodong Wang & Shu Zhou