Highlights

Texture analysis facilitates the follow up of Acromegaly with MRI

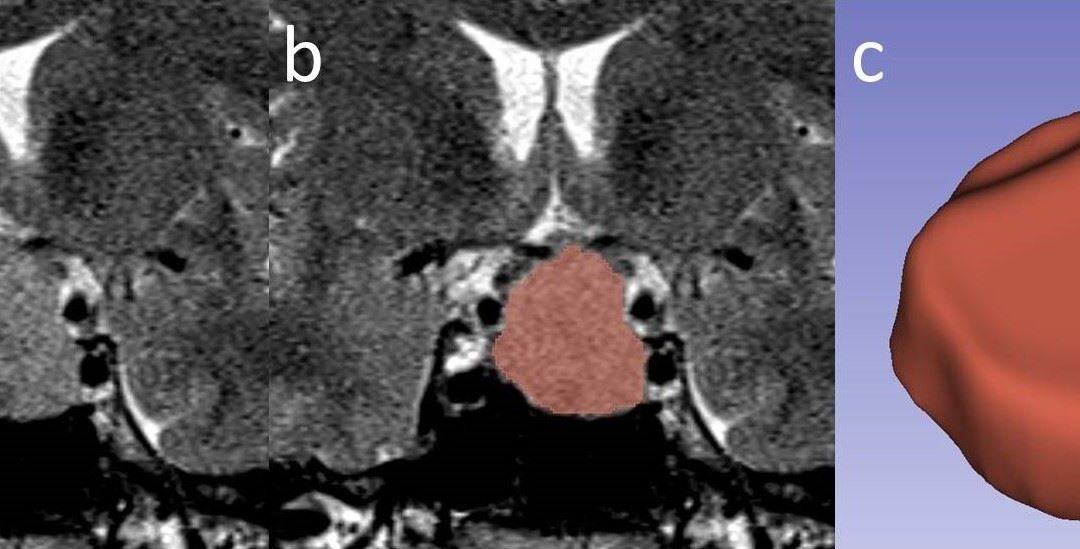
Follow-up of Acromegaly is not easy, as it is related to the pituitary mass and to biochemical issues. It seems that texture analysis can bring new and valuable information for predicting the outcome.

Article: Predicting response to somatostatin analogues in acromegaly: machine learning-based high-dimensional quantitative texture analysis on T2-weighted MRI

Authors: Burak Kocak, Emine Sebnem Durmaz, Pinar Kadioglu, Ozge Polat Korkmaz, Nil Comunoglu, Necmettin Tanriover, Naci Kocer, Civan Islak, Osman Kizilkilic