As with any emerging field, reporting of radiomics suffers from many methodological inconsistencies. This article provides important recommendations to improve future works, preferably from the very beginning of the experiment. Article: Quality of science and...
Dear Editor, With great interest we have read the Letter to the Editor by Rezeine et al. regarding our recent publication “Hepatocellular adenomas: is there additional value in using Gd-EOB-enhanced MRI for subtype differentiation?” [1]. They raise three concerns to...
Dear Editor, We have read with great interest the article entitled “Hepatocellular adenomas: is there additional value in using Gd-EOB-enhanced MRI for subtype differentiation?” by Auer and colleagues published recently in European Radiology [1]. We would first like...
Dear Editor, In December 2019, corona virus disease (COVID-19) initially occurred in Wuhan, China, which was associated with the infection of severe acute respiratory syndrome-related coronavirus 2 (SARS-CoV-2), and the number of infected people increased rapidly in...
Dear Editor, With great interest we have received the “Letter to the Editor” by Mulé and Luciani regarding our recent publication “Does quantitative assessment of arterial phase hyperenhancement and washout improve LI-RADS v2018–based classification of liver lesions?”...
Dear Editor, We read with great interest the article by Stocker and colleagues in the recent issue of European Radiology about diagnostic accuracy of LI-RADS v2018-based categorization of focal liver lesions using quantitative MRI assessment of arterial phase...
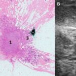
Optoacoustic imaging is a new modality that combines ultrasound and laser light provides improved insight into molecular characteristics of breast cancer. Article: Optoacoustic imaging of the breast: correlation with histopathology and histopathologic biomarkers...
Several methods are available to detect and evaluate liver fibrosis non-invasively. This prospective study points out the advantages of MR elastography. Article: Prospective comparison of transient, point shear wave, and magnetic resonance elastography for staging...
Bone and prosthetic joint infection is one of the most feared adverse events. A multidisciplinary group defined a strategy in order to ensure its early management. Article: Diagnosis of peripheral bone and prosthetic joint infections: overview on the consensus...
Prediction of aortic acute syndrome improves with the use of modern imaging. This may greatly help when making a decision on surgery. Article: Predictive imaging for thoracic aortic dissection and rupture: moving beyond diameters Authors: Bouke P. Adriaans, Joachim E....