Reply to the Letter to the Editor: “Hepatocellular adenomas: is there additional value in using Gd-EOB-enhanced MRI for subtype differentiation?”
by Timo A. Auer, Timm Denecke, Uli Fehrenbach ([email protected])
Hepatocellular adenomas: is there additional value in using Gd-EOB-enhanced MRI for subtype differentiation?Dear Editor,
With great interest we have read the Letter to the Editor by Rezeine et al. regarding our recent publication “Hepatocellular adenomas: is there additional value in using Gd-EOB-enhanced MRI for subtype differentiation?” [1]. They raise three concerns to which we would like to respond.
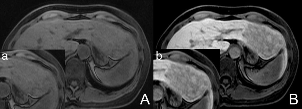
First, Reizine et al. mention that hepatobiliary phase (HPB) signal hyperintensity is not uncommon in hepatocellular adenomas (HCA), as reported in our study and several previous investigations [1-3]. We further agree that lesion hyperintensity relative to the liver and precontrast images should be interpreted with caution for the reasons given by Reizine et al. Nevertheless, we wish to emphasize that our 5-point scoring system (see our publication and Figure 1 below – (1)) rates subjective Gd-EOB uptake within the lesion itself (in steps of 25%) [1]. Lesions with a score of 0 or 1, indicating intralesional contrast uptake of up to 25%, were classified as hypointense [1]. Lesions with scores of 2-4, i.e., those with intralesional, subjective uptake of more than 25%, were deliberately defined as “significantly enhancing” or “significantly enhancing lesions” rather than hyperintense. This classification and the scoring system were refined throughout the review process of the manuscript. Figure 2 shows the precontrast and the HBP phase image of a lesion with greater than 25 percent uptake and hence rated as significantly enhancing.

Fig.1: 5-point scoring system based on intralesional Gd-EOB uptake. Scores of 0-1: hypointense. Score ≥ 2: significantly enhancing
Nevertheless, when only compared to the surrounding liver this lesion could alsobe classified as partly hypointense as well as partly iso- to hyperintense. With our scoring system though, we tried to close the gap for lesions showing a significant Gd-EOB-uptake but could be still interpreted as hypointense compared to the surrounding liver. Please note that the example lesion presented in Figure 2 is characterized by an unequivocal late-phase Gd-EOB enhancement and hence should be classified as an enhancing lesion rather than “hypointense” (if only compared to the liver). Furthermore, subjective assessment of intralesional Gd-EOB uptake in HBP should always be part of the reading process and our technique is therefore easily transferred into clinical practice also applicable to different MRI scanners (rather than quantitative assessment without validated cut-off values). Our study tries to emphasize that Gd-EOB HBP should be used as an additional feature to distinguish HCA subtypes beside the established criteria. If diagnosing HCA with Gd-EOB MRI, careful evaluation of the established criteria of each subtype has to be performed and if characteristics of IHCA or HHCA are present, subjective intralesional Gd-EOB uptake can help to strengthen the diagnosis.

Fig. 2: Example images of an IHCA showing unequivocal intralesional Gd-EOB uptake (also compared to precontrast images). Hence, this lesion was classified as a significant enhancing lesion. Compared to the liver this lesion could be interpreted as hypointense or also as iso- to hyperintense without any discriminatory power
Introduced by Laumonier et al. in 2008, the atoll sign for differentiation of IHCA has become one of the most widely accepted features on unenhanced MR images along with intralesional fat deposition in HHCA and the central scar in bHCA [4-7]. We agree with Reizine et al. that there are several other MR features to characterize IHCA, most notably a marked T2 hyperintensity and persistent delayed enhancement [4, 7, 8]. The purpose of our study was to differentiate subtypes of HCA based on MRI enhancement characteristics following administration of Gd-EOB in combination with established criteria that are independent of the used contrast agent. Persistent delayed enhancement is not established for Gd-EOB and therefore was not part of our evaluation [9]. Once more, we want to emphasize that the aim of our study was to offer guidance how Gd-EOB MRI could be used for differentiation of HCA subtypes and not to show superiority compared to extracellular contrast agents or Gd-BOPTA.
Third, we agree that establishing MRI criteria for bHCA is challenging. Unfortunately, we cannot provide further histopathological subcoding regarding the bHCAs included in our analysis. As mentioned in our publication, the only way to derive valid criteria for bHCA will be a multicentric study [1]. Furthermore, after introduction of the new HCA subtypes (snHCA, + bHCA mutated in exon 3 and exons 7/8) [1, 10, 11], it will be challenging to recruit comparable patient samples as in our study or in the studies of Tse et al. or Bise et al. [1, 7, 12]. For further analysis of these new subtypes, a multicentre design could also be promising.
Finally, we would like to thank Reizine et al. for their stimulating comments as we appreciate an ongoing discussion that will ultimately contribute to the further advancement of MR imaging of patients with HCA. Maybe this correspondence even encourages a multicentric effort aimed at improving diagnostic and therapeutic algorithms across national borders.