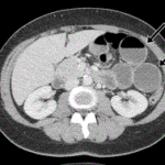
We would like to thank Dr. Herrera and Prof. Serrano for their comments on our recent manuscript about the use of contrast-enhanced ultrasound (CEUS) for the evaluation of unclear renal lesions. We totally agree with the fact that we should always find the best...
Dear Editor, We read with great interest the article from Doctors Johannes Reübenthaler, Negráo de Figueiredo, Mueller-Peltzer and D.A. Clevert’s “Evaluation of Renal Lesions Using Contrast-Enhanced Ultrasound (CEUS); a 10-Year Retrospective European Single-Centre...
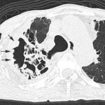
In patients with pulmonary aspergillosis, there is a high risk of haemorrhage. When this happens in the cavitary lesion, its wall shows lobulated thickening corresponding to fibrino-purulent material or to blood crust, therefore indicating a higher risk for...
PET-MRI is growing and associates two modalities with a strong input for cardiac imaging. Still, these machines are not available everywhere; however it is important to understand the rationale for its dissemination. Article: Hybrid cardiac imaging using...
Dear Editor, We were very interested to read the letter from Dr. Erkin Aribal comprising an intriguing comment on our article [1]. Nevertheless, we feel it is important to note several inaccuracies of interpretation in it. Firstly, we should like to stress the fact...
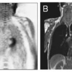
We commend Fausto et al [1] for demonstrating the effectiveness of volume navigation technique (VNT) in finding MR only detected breast lesions after a negative second look US. We also used VNT in MR only detected lesions and showed its effectiveness as a guidance for...
We thank Drs. Xia et al. for their interest in our study and appreciate the opportunity to address their comments. First, there were so many feature parameters from gray-histogram. Different algorithms in different software can work out 30-40 parameters [1,2]. Adding...
Letter to the Editor: With great interest, we read the article by Shen et al [1]. (Shen Q, Shan Y, Hu Z, et al: Quantitative parameters of CT texture analysis as potential markers for early prediction of spontaneous intracranial hemorrhage enlargement. Eur Radiol...
When can I go back to doing sports? Whoever it is, an amateur or professional athlete, hamstring injury is a very common situation and the question will be asked. Will you be able to answer it? Article: New MRI muscle classification systems and associations with...
The diagnosis of internal hernias is a nightmare. However, these authors make your task more simple based on ten different signs. You will not miss any in the future! Article: Diagnosing internal herniation after laparoscopic Roux-en-Y gastric bypass: usefulness of...