Highlights

Do you know the scab-like sign?

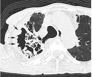
In patients with pulmonary aspergillosis, there is a high risk of haemorrhage. When this happens in the cavitary lesion, its wall shows lobulated thickening corresponding to fibrino-purulent material or to blood crust, therefore indicating a higher risk for haemoptysis. It may change quickly over a short period.

 
Article: The scab-like sign: A CT finding indicative of haemoptysis in patients with chronic pulmonary aspergillosis?

Authors: Haruka Sato, Fumito Okada, Shunro Matsumoto, Hiromu Mori, Junji Kashiwagi, Eiji Komatsu, Toru Maeda, Haruto Nishida, Tsutomu Daa, Satoshi Ohtani, Kenji Umeki, Masaru Ando, Junichi Kadota