Highlights

Intra-voxel incoherent motion MRI of the living human foetus: technique and test–retest repeatability

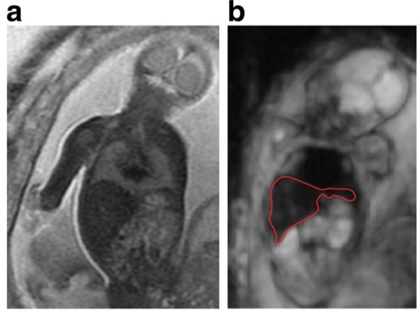
The aim of this study was to test the within-subject (test–retest) reproducibility of the perfusion fraction, diffusion coefficient, and pseudo-diffusion coefficient measurements in various foetus organs and in the placenta based on the intra-voxel incoherent motion (IVIM) principle. The results concluded that IVIM magnetic resonance imaging could potentially provide a novel method for examining microvascular perfusion and diffusion in the developing human foetus.

Key points:
•    Foetal IVIM imaging portrays foetal organ and placental microvascular perfusion
•    Repeatability of IVIM-derived values are moderate for the placenta, foetal lungs and liver
•    Current protocols do not allow repeatable foetal brain and kidney IVIM measurements
•    Foetal IVIM imaging requires advanced image post-processing and analysis

Article: Intra-voxel incoherent motion MRI of the living human foetus: technique and test–retest repeatability

Authors: András Jakab, Ruth Tuura, Raimund Kottke, Christian J Kellenberger and Ianina Scheer