Blog

Predicting event-free survival in children with neuroblastic tumours

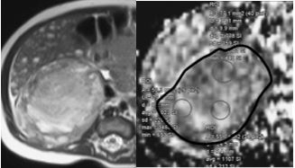
The authors of this study examined the potential use of diffusion-weighted imaging for non-invasive prediction of tumour dignity and prognosis in paediatric patients with neuroblastic tumours.

Article: Quantitative DWI predicts event-free survival in children with neuroblastic tumours: preliminary findings from a retrospective cohort study

Authors: Anna-Lydia Peschmann, Meinrad Beer, Bettina Ammann, Jens Dreyhaupt, Katharina Kneer, Ambros J. Beer, Christian Beltinger, Daniel Steinbach, Holger Cario, and Henning Neubauer