Blog

Estimated intracranial volume from FreeSurfer is biased by total brain volume

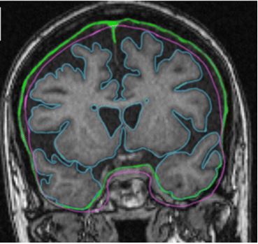
Since estimated intracranial volume (eTIV) from FreeSurfer is calculated from the alignment of the input MR images to the MNI305 brain atlas, and is not segmentation-based, a concern was raised that this might lead to a bias by total brain volume. This study managed to prove the existence of bias by total brain volume in eTIV.

Article: Estimated intracranial volume from FreeSurfer is biased by total brain volume

Authors: Niklas Klasson, Erik Olsson, Carl Eckerström, Helge Malmgren and Anders Wallin