Blog

Cord cross-sectional area at foramen magnum as a correlate of disability in amyotrophic lateral sclerosis

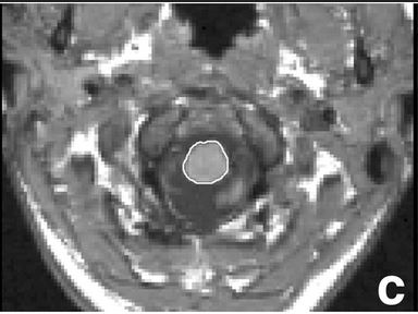
Fig1c Piaggio et al NovDue to the fact that spinal cord atrophy is not routinely assessed in routine clinical practice, despite being one of the hallmarks of amyotrophic lateral sclerosis, this study was designed to evaluate whether spinal cord cross-sectional area measured at the foramen magnum level using an MRI scan represents a meaningful measure to be added to the whole-brain volume assessment.

Article: Cord cross-sectional area at foramen magnum as a correlate of disability in amyotrophic lateral sclerosis

Authors: Niccolò Piaggio, Matteo Pardini, Luca Roccatagliata, Carlo Scialò, Corrado Cabona, Laura Bonzano, Matilde Inglese, Giovanni L. Mancardi and Claudia Caponnetto