Blog

Computed tomography image quality of aortic stents in patients with aortic coarctation: a multicentre evaluation

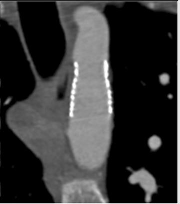
Fig 3d Boccalini et al Jan 2019The aim of this study was to evaluate the post-implantation computed tomography (CT) image quality of different types of stents that are used to treat aortic coarctation. By subjectively scoring CT scans for image quality and measuring the amount of stent-induced blooming artefacts, the authors were able to conclude there is a substantial variation in CT image quality and blooming artefacts for different stent types used to treat aortic coarctation.

Article: Computed tomography image quality of aortic stents in patients with aortic coarctation: a multicentre evaluation

Authors: Sara Boccalini, Annemarie M. den Harder, Maarten Witsenburg, Johannes P. J. M. Breur, Gabriel P. Krestin, Ingrid M. van Beynum, Mohamed Attrach, Nicola Stagnaro, Maurizio Marasini, Pim A. de Jong, Tim Leiner and Ricardo P. J. Budde