Blog

Any impact of sarcopenia and myosteatosis on postoperative outcomes in inflammatory bowel disease?

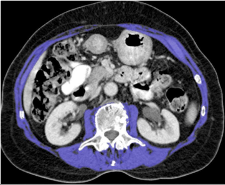
The goal of this retrospective analysis was to investigate outcomes in inflammatory bowel disease (IBD) patients who underwent surgical resection in relation to the presence of sarcopenia and myosteatosis. The authors determined that sarcopenia and myosteatosis in IBD were not associated with clinically relevant postoperative complications.

Article: The impact of sarcopenia and myosteatosis on postoperative outcomes in patients with inflammatory bowel disease

Authors: Stephen O’Brien, Richard G. Kavanagh, Brian W. Carey, Michael M. Maher, Owen J. O’Connor and Emmet J. Andrews