Uncategorized

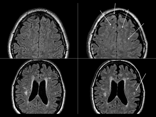
Synthetic MRI images. Are they valuable for the evaluation of multiple sclerosis?

 

Synthetic images are obtained from a single acquisition – with mathematical reconstruction of T1 and T2 – like images. A comparison with “native” images shows that it is a good alternative in patients with multiple sclerosis (MS).
Key points:
• Synthetic MR images may potentially be useful in the assessment of MS.
• Examination times may be shortened.
• Inter- and intra-observer agreement is generally higher using conventional MRI.

Article: Conventional and synthetic MRI in multiple sclerosis: a comparative study

Authors: Wolfgang Krauss, Martin Gunnarsson, Margareta Nilsson and Per Thunberg