Highlights

Tricky internal hernias: ten signs to improve your performance

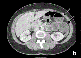
The diagnosis of internal hernias is a nightmare. However, these authors make your task more simple based on ten different signs. You will not miss any in the future!

Article: Diagnosing internal herniation after laparoscopic Roux-en-Y gastric bypass: usefulness of systematically reviewing CT scans using ten signs

Authors: Jeannette C. Ederveen, Marijn M. G. van Berckel, Saskia Jol, Simon W. Nienhuijs and Joost Nederend