Highlights

Tomosynthesis increases confidence

 

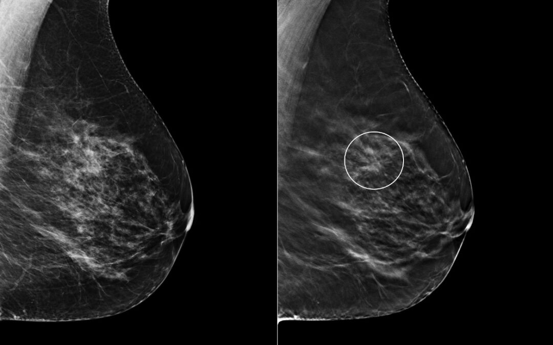
Comparing digital breast tomosynthesis (DBT) and digital mammography (DM), the authors show that DBT increases reader’s confidence and improves the inter-reader agreement.

 

Key points:

  • Digital breast tomosynthesis decreases interobserver variability in the detection of architectural distortion.
  • Digital breast tomosynthesis increases reader confidence in the detection of architectural distortion.
  • Digital breast tomosynthesis improves sensitivity in the detection of architectural distortion.

Article: Comparison of digital mammography and digital breast tomosynthesis in the detection of architectural distortion

Authors: Dibble et al, January 2018, Volume 28, Issue 1, pp 3–10