Highlights

What happens to seminal vesicles after ejaculation?

 

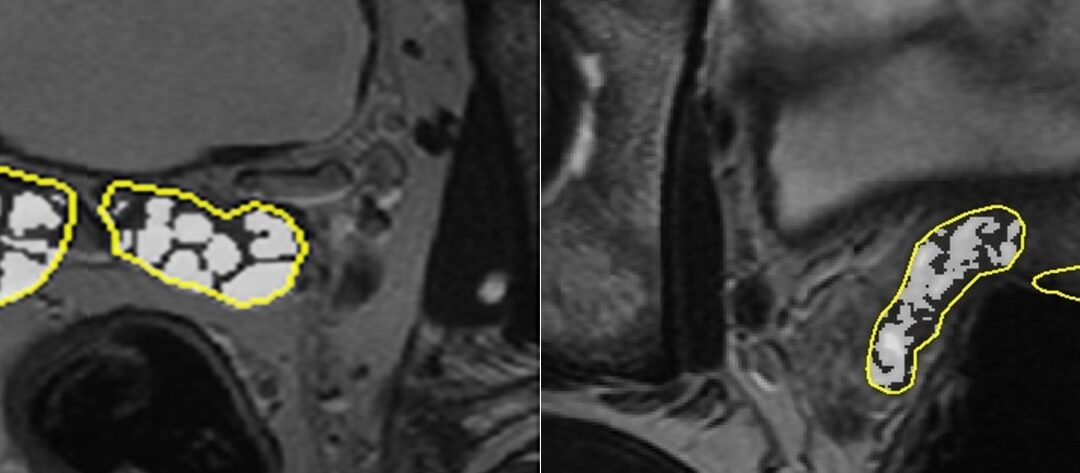
This articles focuses on the volume reduction of fluid within the seminal vesicles after ejaculation, as shown in MRI.

Key points:

  • Seminal vesicle volume significantly reduced 24 h post-ejaculation remaining reduced at day
  • Seminal vesicle fluid volume significantly increased from day 1 to day 3 post-ejaculation
  • There was a significant reduction in whole-gland prostate ADC values day 1 post-ejaculation
  • 3-day abstinence from ejaculation is required to ensure maximal seminal vesicle distension

Article: The longitudinal effect of ejaculation on seminal vesicle fluid volume and whole-prostate ADC as measured on prostate MRI

Authors: Barrett et al December 2017, Volume 27, Issue 12, pp 5236–5243