Highlights

Predicting survival with CT texture analysis in patients with melanoma treated with immunotherapy

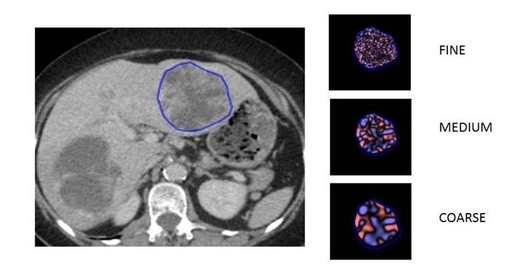
Immunotherapy has been a major step forward in the treatment of metastatic melanoma. Imaging with texture analysis may now contribute to a better evaluation of overall survival.

Article: Metastatic melanoma: pretreatment contrast-enhanced CT texture parameters as predictive biomarkers of survival in patients treated with pembrolizumab

Authors: Carole Durot, Sébastien Mulé, Philippe Soyer, Aude Marchal, Florent Grange, Christine Hoeffel