Highlights

Non-contrast cardiac CT: much more than only calcium scoring!

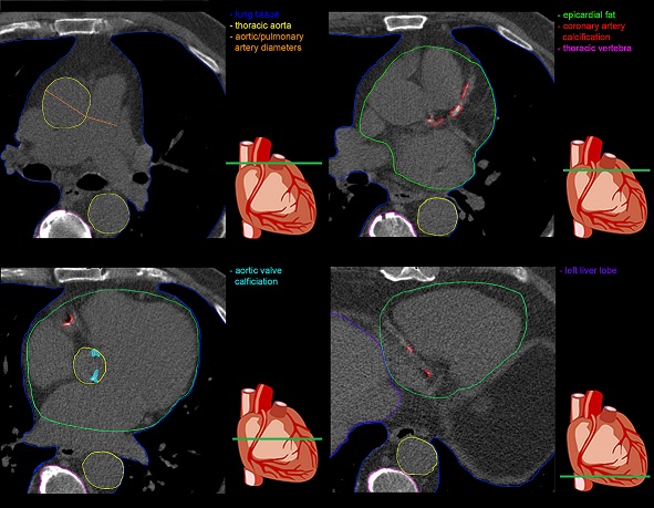
This paper shows that we can extract a lot of information from plain cardiac CT. While calcium scoring is an obvious result, it is also possible to learn the amount of epicardial fat, an increasingly recognized prognostic factor of cardiac events, appearance of lungs, pulmonary arteries, breast and also extra thoracic information like liver fat.

 

Key points:

  • The coronary artery calcium score substantially increased the use of cardiac CT.
  • Cardio-metabolic and general health markers may be derived without changes to the scan protocol.
  • Those include epicardial fat, aortic valve calcifications, liver fat, bone density, and lung density.
  • Clinicians must be aware of this potential additional yield from non-contrast cardiac CT.

Article:  Leveraging the coronary calcium scan beyond the coronary calcium score

Authors: Daniel Bos and Maarten J. G. Leening