Highlights

Liver fat and fibrosis are biomarkers of cardio-vascular risk in patients with diabetes mellitus

 

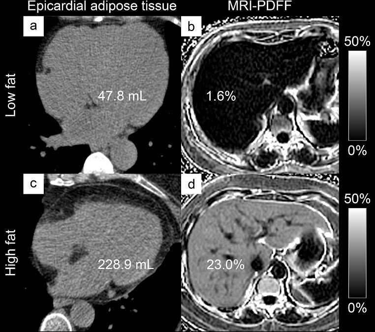
With the increased prevalence of metabolic syndrome, imaging now plays an additional prognostic role, especially in the personalization of cardio-vascular events. This paper prospectively shows the importance of liver disease and its relationship with epicardial adipose tissue (EAT) in this regard. It offers a new insight into basic CT examinations.

Key points:

  • EAT volume is higher in diabetic individuals with NAFLD
  • Liver fat content is positively correlated with EAT
  • Liver fat content and liver fibrosis were independently associated with EAT
  • Higher liver fat content and fibrosis may adversely affect cardiovascular risk

Article: Increased severity of liver fat content and liver fibrosis in non-alcoholic fatty liver disease correlate with epicardial fat volume in type 2 diabetes: A prospective study

Authors: Sharon S. Brouha, Phrium Nguyen, Ricki Bettencourt, Claude S. Sirlin and Rohit Loomba