Highlights

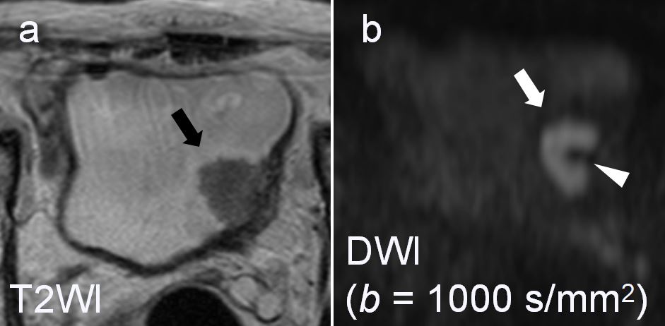
Do you know the Inchworm sign?

This sign is found in case of bladder cancer. It provides information on the degree of microinvasion into the muscularis propria. When absent, the likehood of progression is higher.

Article: Usefulness of the inchworm sign on DWI for predicting pT1 bladder cancer progression 

Authors: Shugo Yajima, Soichiro Yoshida, Taro Takahara, Yuki Arita, Hiroshi Tanaka, Yuma Waseda, Minato Yokoyama, Junichiro Ishioka, Yoh Matsuoka, Kazutaka Saito, Kazunori Kihara, Yasuhisa Fujii