Highlights

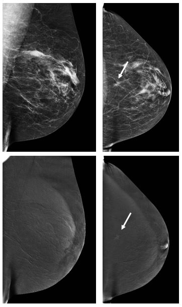
Contrast–enhanced mammography: Is a single view enough?

Contrast-enhanced mammography is developing as an alternative to MRI in some situations. However, in order to decrease the radiation dose, the question is if we can perform only a single view instead of a double view. From this cohort, the answer is not positive.

Tip: Read more about breast cancer screening here and here (Eur Radiol).

Article: Evaluation of single-view contrast-enhanced mammography as novel reading strategy: a non-inferiority feasibility study

Authors: Marc B.I. Lobbes, Julie Hecker, Ivo P.L. Houben, Rene Pluymakers, Cecile Jeukens, Ulrich C. Lalji, Suzanne Gommers, Joachim E. Wildberger, & Patty J. Nelemans