Highlights

Can we standardise CTA reporting with a CAD?

 
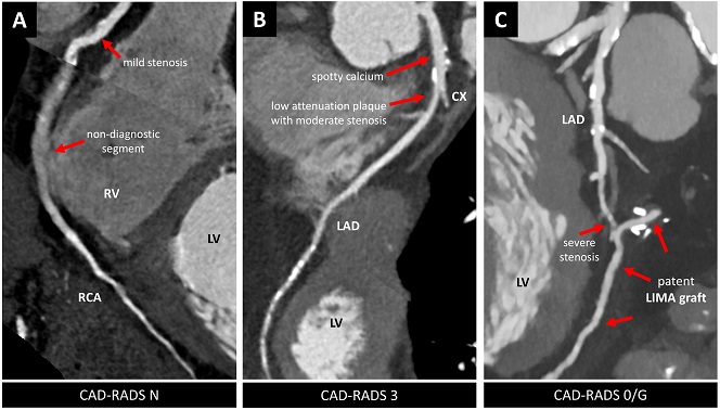
Coronary artery CT includes measurements as well as some subjective analysis. Using a CAD helps standardise the report and improves communication, as well as making the radiologist’s work easier.

Key points:
CAD-RADS is a tool for standardising coronary CTA reports.
CAD-RADS includes clinical treatment recommendations based on CTA findings.
CAD-RADS has the potential to reduce variability of CTA reports.

Article: CAD-RADS – a new clinical decision support tool for coronary computed tomography angiography

Authors: Borek Foldyna, Bálint Szilverszter, Jan-Erik Scholtz, Dahlia Banerji, Pál Maurovich-Horvat and Udo Hoffmann