Highlights
Should we perform susceptibility weighted MRI (sMRI) for vertebral fractures?
This study shows that sMRI is a valuable addition to conventional MRI for patients with vertebral fractures. Key points: • sMRI allows a reliable evaluation of vertebral body fractures. • sMRI has higher accuracy than standard-MRI for evaluation of...
Avoiding haemoptysis after transthoracic lung biopsy
Haemoptysis is a common complication of lung biopsy, which can occasionally be very severe. This paper, based on a very large number of patients, evaluates the risk factors, among them the main pulmonary artery diameter (mPAD). Key points: mPAD...
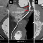
Can we standardise CTA reporting with a CAD?
Coronary artery CT includes measurements as well as some subjective analysis. Using a CAD helps standardise the report and improves communication, as well as making the radiologist’s work easier. Key points: CAD-RADS is a tool for standardising coronary CTA...
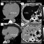
Liver fat and fibrosis are biomarkers of cardio-vascular risk in patients with diabetes mellitus
With the increased prevalence of metabolic syndrome, imaging now plays an additional prognostic role, especially in the personalization of cardio-vascular events. This paper prospectively shows the importance of liver disease and its relationship with...
Treatment of liver metastases from neuroendocrine tumour: which is the best method?
Neuroendocrine tumours are increasing in incidence. In diffuse cases, which are very common, the question of the most appropriate testament is essential. This paper favors cTACE over DEB-TACE and Y90.