Highlights

Neuroimaging assessment in Down syndrome: a pictorial review

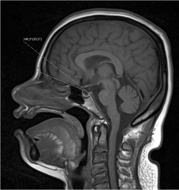
The authors of this paper set out to review and systematize the distinguishing characteristics and abnormalities that can be found in Down syndrome patients. The focus of this study was on the radiological findings in the central nervous system, head and neck, and spine.

Article: Neuroimaging assessment in Down syndrome: a pictorial review

Authors: Marta Rodrigues, Joana Nunes, Sofia Figueiredo, António Martins de Campos and Ana Filipa Geraldo