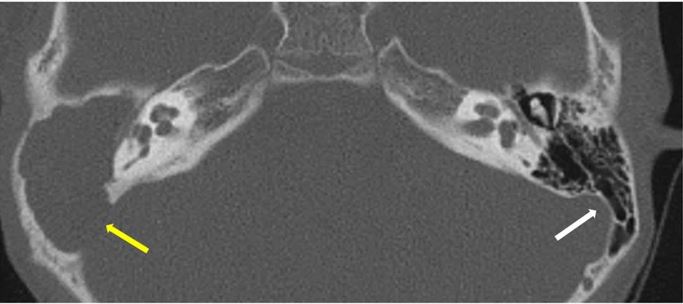
HRCT imaging of acquired cholesteatoma

The authors of this review analyse the various HRCT imaging features of acquired cholesteatoma, a reporting template, and briefly discuss the imaging of the post-operative ear.
Article: HRCT imaging of acquired cholesteatoma: a pictorial review
Authors: Malvika Gulati, Swati Gupta, Anjali Prakash, Anju Garg and Rashmi Dixit